3D 齒雕
什麼是 3D齒雕?
3D齒雕,是一種精密牙齒修復技術,用來補牙、修補蛀牙,或修復牙齒缺損。
不同於傳統樹脂補牙,它先用口內數位掃描取得牙齒3D影像,再透過電腦設計(CAD)與電腦切削(CAM),用全瓷或複合陶瓷雕刻出修復體。
修復體的形狀、咬合高度都能與真牙高度吻合,外觀自然、耐用又舒適。
傳統補牙 和3D齒雕比較
|
項目
|
傳統補牙 | 齒雕3D |
|
製作方式
|
手工塑形樹脂或銀粉填補
|
數位掃描取模+電腦設計切削 ![]() |
|
密合度
|
依醫師手感塑形
|
電腦精密雕刻,密合度高 ![]() |
|
材質
|
樹脂、銀粉
|
全瓷材料一體成型 ![]() |
|
外觀
|
色澤易變黃或有金屬色
|
色澤自然,接近真牙
|
|
耐用度
|
較易磨損或崩裂
|
高硬度、耐磨損
|
簡單結論
3D齒雕
精準、美觀、耐用,適合想要長期穩定且自然效果的患者。
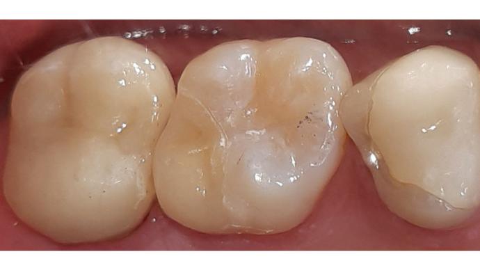
真實案例 1
術前 / 術後
真實案例 2
術前 / 術後
真實案例 3
術前 / 術後

