全瓷美學
強化牙齒功能 綻放自然笑容
全瓷冠|美觀 × 耐用 × 健康
微笑,是最美的自信展現。
當牙齒因蛀牙、斷裂、變色、磨損影響外觀與咬合,
全瓷冠就是最佳選擇!
安馨牙醫採用最新數位牙科技術+個人化美學設計,
為您打造宛如真牙的全瓷牙冠,
讓您重拾自信笑容,提升生活品質!
什麼是全瓷冠 數位全瓷冠的特色
一體成型
採用數位掃描 + CAD/CAM 的方式,整塊陶瓷直接研磨,不需要金屬內冠,密合性極佳
。
美觀自然
全瓷牙冠自然透光並且可依鄰牙調整顏色與表面紋理,讓假牙呈現更逼真、自然的效果。
不染色
傳統金屬假牙,在口腔潮濕溫度變化下可能會因離子釋放,導致牙齦染色。
健康相容
無金屬成分,不刺激口腔,與人體相容性佳,不過敏。
當您有以下的問題,可以採用全瓷冠做修復
01
大範圍蛀牙、牙齒斷裂
大面積蛀牙、牙齒斷裂,牙齒結構不足以支撐填補物。
02
舊假牙變色缺損
舊假牙或金屬冠外觀不自然,想改善美觀。
03
對金屬過敏或牙齦變色
對金屬材質敏感,容易引起牙齦紅腫、黑線。
04
追求自然美觀與透光性
前牙區修復,自然透亮。
全瓷美學流程
01
德國CEREC
口腔掃描儀
口内取像
02
專業比色
微笑曲線設計
03
德國研磨機
快速精準研磨
04
試戴 染色
黏著完成
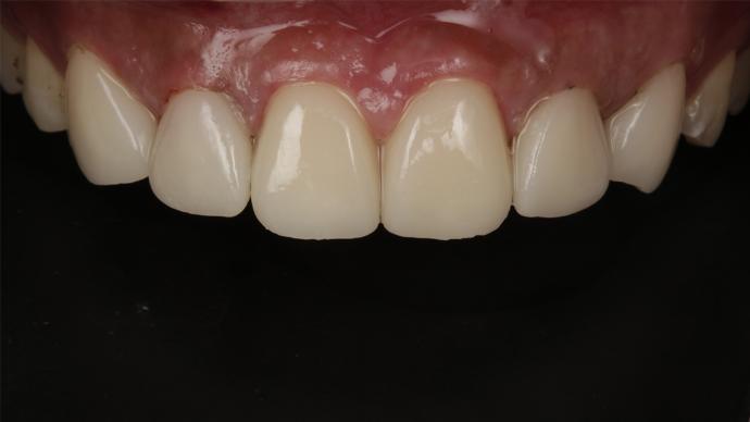
真實案例 1
術前 / 術後
術前 / 術後
真實案例 2
術前 / 術後