一日美齒.重啟自信笑容

2026/05/22

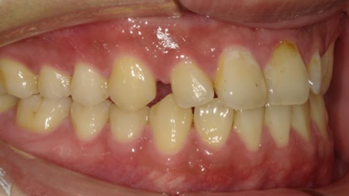
蘇教練的全瓷貼片蛻變

健身房裡的蘇教練,自律、專業,卻曾因牙縫而不敢自在微笑。
經專業評估後,他選擇 「一日美齒.全瓷貼片」——專屬設計、量身打造。

當天完成流程

  • 微調修磨牙齒
  • 數位口掃取模、比色設計
  • 貼片試戴、調整與精緻染色
  • 最終黏著,笑容完美回歸

療程結束,他的笑容與自信同步回來。
原來,他從來不嚴肅,只是以前沒有讓笑容登場的理由。

你也值得這樣的改變
✅ 全瓷貼片,一日完成
✅ 微創自然,還原自信
✅ 專業團隊,量身設計

📅 立即預約諮詢,找回屬於你的笑容!



智能AI模擬


智能AI模擬


智能AI模擬