美學植牙 大叔變歐巴

2025/11/27

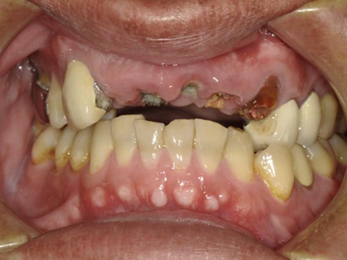
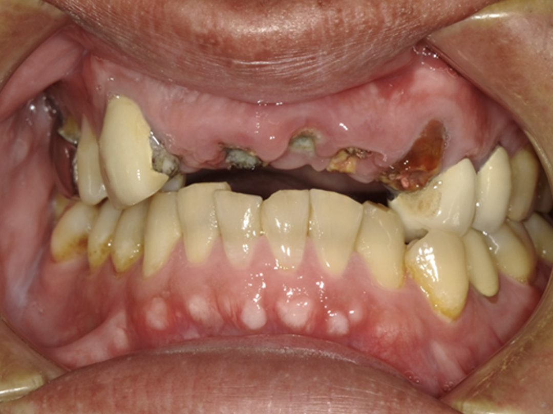
廖先生數顆前牙斷裂,之前的活動假牙戴上去覺得異物感實在太不舒服了。因此來諮詢植牙。經過拍照、口腔掃瞄、電腦斷層評估骨質及植入位置…詳細的術前規劃後,安排即拔即種植牙手術。

術前  五顆牙齒斷裂    缺牙

口掃機掃瞄,並設計完成的假牙型態,再決定植牙的植入位置及角度

術中  斷牙即拔即種,共植入三顆  

術後  假牙安裝  

雖然只有三顆植牙、五顆假牙,完成後廖先生瞬間從大叔變歐巴。『原來我這麼帥』,辛苦經過一連串的治療,還給廖先生一個自信的微笑。


閱讀下一篇
全口重建